Un sauvetage endoscopique en 10 minutes : sauver un chaton d’un corps étranger gastrique
« Xiaoman » est un chaton mâle British Shorthair âgé d'un mois et demi. Ce qui devait être un moment de tétée paisible et ordinaire a rapidement tourné au drame : le chaton, joueur, s'est soudainement jeté sur le biberon, a arraché la tétine en caoutchouc et l'a avalée d'un coup.
Au départ, Xiaoman ne présentait aucune anomalie apparente : son appétit et son niveau d’énergie semblaient normaux. Cependant, sachant qu’un corps étranger dans le tube digestif pouvait avoir de graves conséquences, son propriétaire l’a immédiatement emmené chez un vétérinaire pour un examen.
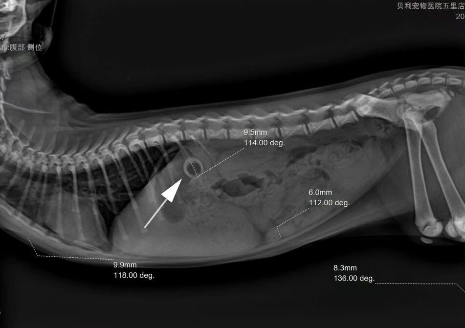
01 Diagnostic précis : l’imagerie révèle un risque gastrique caché
À son arrivée, le vétérinaire a d'abord procédé à un examen physique de routine. Xiaoman était alerte, mangeait normalement et ses signes vitaux — température, pouls et respiration (TPR) — étaient tous dans les normes. Aucun signe anormal n'a été constaté lors de l'examen initial.

Afin d'évaluer plus précisément les risques potentiels, un examen d'imagerie a été réalisé. Les résultats ont clairement révélé une opacité importante au niveau de l'estomac. Compte tenu du témoignage du propriétaire, qui a décrit le chaton mordant et avalant la tétine du biberon, le vétérinaire a établi un diagnostic précis : un cas typique d'ingestion d'un corps étranger gastrique.
Bien que Xiaoman ne présentât pas encore de signes d'inconfort, la rétention prolongée du corps étranger pourrait entraîner des lésions de la muqueuse, une obstruction, voire une perforation, rendant une intervention rapide essentielle.
02 Traitement mini-invasif : ablation non chirurgicale pour préserver une jeune vie
Compte tenu du jeune âge et du faible poids de Xiaoman, une chirurgie abdominale ouverte traditionnelle aurait présenté un traumatisme et des risques importants. L'équipe médicale a donc opté pour une stratégie de traitement privilégiant les techniques minimalement invasives. Grâce à des techniques endoscopiques professionnelles adaptées aux jeunes chatons, le corps étranger a été retiré directement de l'estomac sous anesthésie.
L'intervention a duré environ 10 minutes. Grâce à une localisation précise et une manipulation délicate, le vétérinaire a réussi à récupérer la tétine en caoutchouc intacte. Les signes vitaux de Xiaoman sont restés stables tout au long de l'intervention et il s'est rapidement remis de l'anesthésie, évitant ainsi de grandes incisions chirurgicales et une longue convalescence.
Après l'opération, un protocole de soins détaillé a été mis en place. Des médicaments ont été administrés pour protéger la muqueuse gastrique et prévenir les lésions mineures causées par le corps étranger. Un régime alimentaire hautement digestible a également été prescrit pour favoriser une récupération gastro-intestinale progressive. Depuis, Xiaoman a retrouvé sa vivacité et continue de grandir en pleine santé.
3 points clés à retenir : le dépistage précoce et une stratégie professionnelle sont essentiels.
Le succès de cette affaire peut être attribué à deux facteurs principaux :
Diagnostic précis
L'imagerie diagnostique a rapidement permis d'identifier le corps étranger gastrique de haute densité (la tétine du biberon), définissant clairement son emplacement et le risque potentiel, et fournissant une base fiable pour un traitement ciblé.
Philosophie des traitements mini-invasifs
Compte tenu des particularités physiologiques des jeunes chatons, la méthode d'extraction la moins traumatisante, telle que l'endoscopie vétérinaire JeetVet, a été privilégiée. Cette approche a permis d'éviter les traumatismes chirurgicaux et les complications, tout en réduisant considérablement le temps de convalescence, garantissant ainsi une protection maximale et des lésions minimales.
04 Conseils vétérinaires : Ne négligez pas ces détails
La chance de Xiaoman est due à la réaction rapide de son maître. Plus important encore, la prévention de tels incidents est essentielle. JeetVet Medical rappelle aux propriétaires d'animaux de compagnie de ranger et de manipuler avec soin les produits potentiellement dangereux, notamment dans les foyers avec de jeunes chatons ou chiots.
Les objets à haut risque fréquemment ingérés par les jeunes animaux de compagnie comprennent :
- ▪️ Accessoires d'alimentation : tétines, bouchons, emballages de friandises (les jeunes animaux sont souvent attirés par les objets mous).
- ▪️ Objets du quotidien : élastiques, petits morceaux de jouets (clochettes, yeux en plastique), trombones
- ▪️ Objets dangereux : pièces de monnaie, piles boutons, produits de nettoyage et médicaments
Une prévention adéquate est la première et la plus importante étape pour préserver la vie des jeunes.
